Posted by : Unknown Saturday, 13 July 2013

Schistosoma mansoni, complicaciones neurológicas: tres casos clínicos a considerar

Disponible en: http://www.lookfordiagnosis.com/~lookfordiagnosis/mesh_info.php?term=Neuroschistosomiasis&lang=1
Neuroesquistosomiasis; mielopatía esquistosomiasis.

Caso 1
 La médula espinal es el lugar más común donde se aloja el schistosoma mansoni, esto es lo que se conoce como neuroesquistosomiasis. En su forma precoz el schistosoma causa lumbago, debilidad en las extremidades inferiores y disfunciones urinarias en distintas formas clínicas. El diagnostico precoz es la única forma de disminuir  el daño neurológico final.

Preponderancia de la disfunción radicular en la fase temprana de evaluación clínica en la mielitis por Schistosoma mansoni.
Disponible en: http://www.sciencedirect.com/science/article/pii/S0035920307002453
Schistosoma mansoni mielopatía. Cable de la resonancia magnética espinal muestra las zonas de captación de contraste intramedular torácica después de la inyección intravenosa de gadolinio en la secuencia T1.

Arquivos de Neuro-Psiquiatria

RESUMEN
En neuroesquistosomiasis, la médula espinal es el lugar más común de la enfermedad. En áreas de alta prevalencia para la esquistosomiasis mansoni, el estado de alerta clínica es importante para un diagnóstico precoz, con el fin de disminuir el daño neurológico final. Este estudio proporciona información neurológica útil sobre una serie de pacientes con mielitis esquistosomiasis.

MÉTODO: La muestra estuvo conformada por 13 compañías esquistosomiasis mansoni examinados en el momento del diagnóstico de mielitis.

RESULTADOS: La tríada clásica (lumbago, debilidad en las extremidades inferiores y disfunciones urinarias) se documentó en 11 (86,61%) pacientes. La distribución de las formas clínicas era: mielo-radicular en seis pacientes (46,15%), radicular en cuatro (30,76%) y mielítica en tres (23,07%).

CONCLUSIÓN: La disfunción radicular y sus formas asociadas clínicos fueron el patrón más prominente durante la fase precoz de esta enfermedad.

Palabras clave: la esquistosomiasis mansoni, neuroesquistosomiasis, mielitis, examen neurológico, tomar la historia médica.

Continuar leyendo en (original en inglés): http://www.scielo.br/scielo.php?script=sci_arttext&pid=S0004-282X2011000200009


Caso 2
En etapas mas avanzadas, cuando los huevos ectópicos de schistosoma mansoni migran al cerebro, se producen complicaciones neurológicas asociadas a la formación de granulomas producidos alrededor de los mismos.


Vasculitis cerebral asociada con la infección por Schistosoma mansoni.

Disponible en: http://www.sciencedirect.com/science/article/pii/S0035920307002453
Los hallazgos patológicos de una biopsia del cerebro revela granulomas de Schistosoma mansoni

BMC Infectious Diseases
RESUMEN

Implicación de fondo
La afectación cerebral en la esquistosomiasis no es rara, pero es infradiagnosticada debido a la falta de sospecha clínica y la frecuencia de formas asintomáticas. Las complicaciones neurológicas son apoyadas generalmente por la formación de granulomas alrededor de los huevos ectópicos que han migrado al cerebro. Por otra parte, las lesiones vasculares cerebrales y arteritis han sido bien documentados en estudios histopatológicos. Sin embargo, la vasculitis cerebral en etapas posteriores de la infección por Schistosoma mansoni todavía no se ha descrito en sujetos vivos.

Presentación del caso
Mujer francesa de  28 años de edad,  tuvo un derrame cerebral relacionado con vasculitis cerebral, 6 meses después de regresar de Burkina-Faso. Al mismo tiempo, se diagnostica una infección diseminada por schistosoma mansoni. Ella sufría de una nueva carrera después de aplicar la terapia praziquantel, que nos llevan a asociar la infección por S. mansoni y vasculitis cerebral.

Conclusión
Este es el primer informe de tal asociación, ya que la vasculitis cerebral nunca se ha descrito en las etapas posteriores de la infección por schistosoma mansoni. Aunque la relación de causalidad entre las dos patologías no se pudo probar, sugerimos que schistosoma mansoni es capaz de causar daño vascular severo en los vasos cerebrales. La esquistosomiasis debe ser investigada en el caso de un infarto cerebral en los jóvenes, sobre todo en pacientes originarios o que regresan de una zona endémica.

Palabras claves: accidente cerebro-vascular, vasculitis cerebral, Schistosoma mansoni, corticosteroides, Praziquantel.

Continuar leyendo en (original en inglés): http://www.ncbi.nlm.nih.gov/pmc/articles/PMC3482565/?tool=pubmed


Caso 3
Por ultimo, conoceremos una nueva forma de presentación de schistosoma mansoni, en la que una vez mas el depósito de los huevos en el cerebro, produce múltiples lesiones con la apariencia de pseudotumores.

Forma pseudotumoral difusa de esquistosoma cerebral: una nueva forma de presentación.
Disponible en: http://www.sciencedirect.com/science/article/pii/S0035920307002453
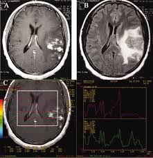
Schistosoma mansoni: esquistosomiasis cerebral. Resonancia magnética cerebral muestra una lesión heterogénea mejora con edema circundante.

RESUMEN
Se describen dos casos de esquistosomiasis mansoni cerebral con lesiones múltiples pseudotumorales diagnosticado por biopsia cerebral estereotáxica. Ambas pacientes presentaron convulsiones y una con  deterioro visual izquierdo. Las pruebas de imagen revelaron múltiples lesiones cerebrales del parénquima cerebral, pons, el cerebelo y el tálamo. Muestras histológicas del cerebro de los pacientes presentaron múltiples granulomas esquistosomiasis en fases evolutivas diferentes. Todos los pacientes presentaron buena respuesta clínica para el tratamiento y la reversión de las lesiones cerebrales. Esta nueva forma de neuroesquistosomiasis debe estar considerado por los que trabajan en el área endémica de Schistosoma mansoni.

Discusión
Esquistosomiasis cerebral es una afección poco común que se caracteriza por el depósito anómalo de huevos de schistosoma mansoni en el SNC. Los gusanos y los huevos llegan al cerebro por el sistema arterial o venosa retrógrada a través de la sangre (Plexo vertebral de Batson). Los huevos de schistosoma  mansoni y los gusanos en el cerebro provocan una respuesta inmunológica proteica y causan daño vascular.

Palabras claves: Schistosoma mansoni, neuroesquistosomiasis, la esquistosomiasis, el cerebro / lesiones.

Continuar leyendo en (original en inglés): http://files.bvs.br/upload/S/0103-5355/2011/v30n4/a2740.pdf



Referencias

Camuset, G.,  Wolff, V.,  Marescaux, C.,  Abou-Bacar, A.,  Candolfi, E., Lefebvre, N., Christmann, D. & Hansmann Y. (2012). Cerebral vasculitis associated with Schistosoma mansoni infection. BMC Infectious Diseases,  12(220). Recuperado de: http://www.ncbi.nlm.nih.gov/pmc/articles/PMC3482565/?tool=pubmed

Fernandes, C.,  Silva, C. da.,  Oliveira, J., Belleza, S. & Brito, M. (2011). Radicular dysfunction preponderance at early phase clinical evaluation in myelitis bySchistosoma mansoni. Arquivos de Neuro-Psiquiatria, 69(2). Recuperado de:  http://www.scielo.br/scielo.php?script=sci_arttext&pid=S0004-282X2011000200009


Vale, T.,  Oliveira, M.,  Pereira, S.,  Lambertucc, J. &  Gusmão, S.  (2011). Diffuse pseudotumoral cerebral Schistosomiasis mansoni: a new form of presentation / Forma pseudotumoral difusa da esquistossomose cerebral: uma nova forma de apresentação. Arquivos deNeuro-Psiquiatria, 30(4). Recuperado de:  http://files.bvs.br/upload/S/0103-5355/2011/v30n4/a2740.pdf












Leave a Reply

Subscribe to Posts | Subscribe to Comments

Popular Post

- Copyright © e-Med - Metrominimalist - Powered by Blogger - Designed by Johanes Djogan -